14144,23%-0,4
42,72% 0,03
50,28% 0,22
5951,24% -0,19
9603,36% 0,00
Göğüs Hastalıkları Uzmanı Prof. Dr. Şevket Özkaya, "Özellikle gençlerin kovid-19 sonrası bozulmuş damar yapısı, ağır egzersiz ve spor ile ölümcül kalp krizlerine neden oluyor. Ani artan genç ölümlerinden Kovid-19 aşıları değil, korona virüsünün damar hasarına yaptığı hasar nedeniyle olduğu kanıtlanmış oldu" dedi.
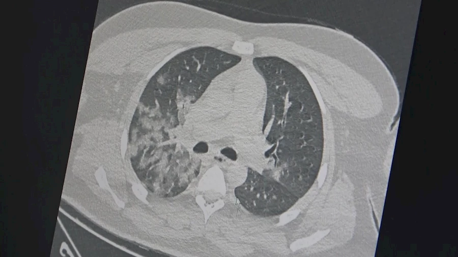
Kovid-19 salgını sonrası özellikle acil servislerde genç hastalarda ani ölümle sonuçlanan akciğer ve kalp/damar hastalıklarında ciddi artış olduğunu ifade eden Göğüs Hastalıkları Uzmanı Prof. Dr. Şevket Özkaya, açıklamalarda bulundu. Özkaya, "Tüm dünyada en çok sorulan soru, bu artan ani ölümlerin sebebi kovid-19 aşıları mı yoksa korona virüsünün etkileri mi? Bu soru İngiltere’de 46 milyon kişi üzerinde yapılan bir araştırma ile netleşti. Kovid-19 aşılarının damar tıkanıklığı sonucu kalp krizi ve inme riskini azalttığını bildirildi. Vücudumuzda damar tıkanıklığı gelişmesinde ve akciğer, kalp ve beyin damarlarında ölümle sonuçlanan olaylara neden olan 3 temel faktör vardır. Damar iç duvarında (endotel) hasar; ameliyat, hastalık veya uzun süre seyahat sebebiyle vücudumuzun hareketsiz kalması, pıhtılaşmaya yatkınlık yapan genetik ve ilaç kullanımı (doğum kontrol hapları vb). Bu 3 faktörden en önemlisi olan damar iç duvarı (endotel) hasarı olup, kovid-19 virüsü ile enfekte olan bir kişide virüs yüküne bağlı gelişen özellikle ’sitokin’ fırtınası başta olmak üzere, kan plazmasının toksik ve tahrip edici damar iç duvarında ciddi hasar yapıyor, pıhtı oluşumunun ilk aşaması gerçekleşiyor. Ayrıca hastalık veya uzun süre seyahat sebebiyle vücudumuzun hareketsiz kalması ile pıhtı oluşumuna neden oluyor ve ölümcül sonuçlar ile karşılaşıyoruz. Özellikle gençlerin kovid-19 sonrası bozulmuş damar yapısı, ağır egzersiz ve spor ile ölümcül kalp krizlerine neden oluyor" diye konuştu.
"Ani ölümler kovid-19 virüsünün damar hasarına yaptığı hasar nedeniyle olduğu kanıtlandı"
Özkaya şunları söyledi: "Aşılar özellikle salgın döneminde insan vücudundaki virüs yükünü azaltarak, hem hastalığın ağır geçirilmesine hem de kan plazmasının damar iç duvarındaki bu harap edici etkisini azaltıyor. Buna bağlı damar tıkanıklıklarını da azalttığı ve akciğer, kalp ve beyin damarlarındaki ölümcül tıkanıklarını da azalttığını düşünüyoruz. Sonuç olarak, ani artan genç ölümlerinden kovid-19 aşıları değil, kovid-19 virüsünün damar hasarına yaptığı hasar nedeniyle olduğu kanıtlanmış oldu" şeklinde konuştu.

Veri politikasındaki amaçlarla sınırlı ve mevzuata uygun şekilde çerez konumlandırmaktayız. Detaylar için veri politikamızı inceleyebilirsiniz.